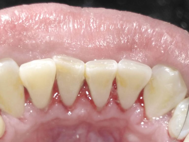
Realizado por nuestro especialista, área que nos permite proteger y rehabilitar los tejidos de soporte del diente (encías, hueso y ligamento periodontal ). De las enfermedades más comunes encontramos la inflamación y sangrado de encías llamado gingivitis.

CIRUGIA MAXILOFACIAL

ODONTOPEDIATRIA