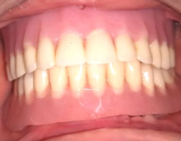
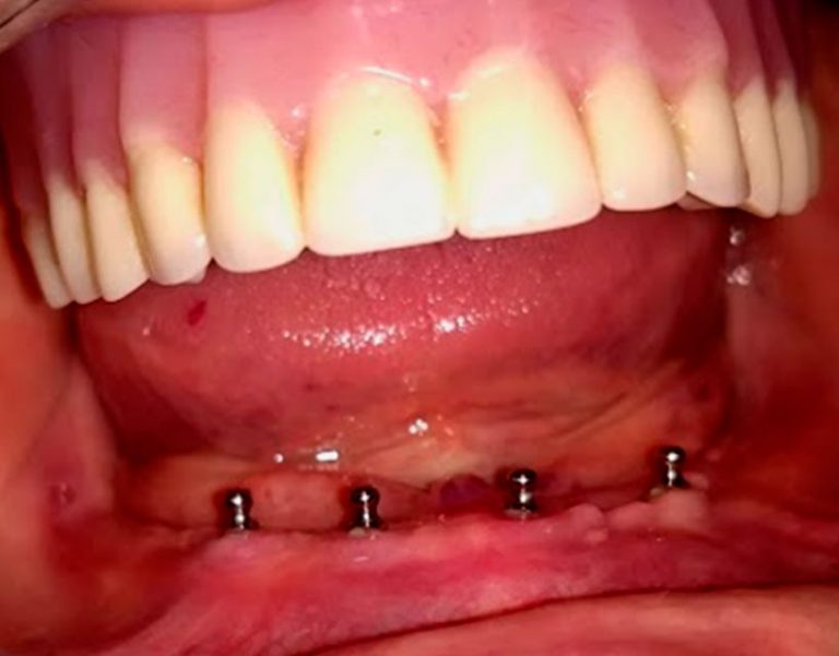
Rama dental enfocada en devolver al paciente tanto la función masticatoria como estética una vez que se han perdido todas las piezas dentales en una o ambas arcadas.

Prostodoncia total

Protesis total sobre implantes

ODONTOLOGIA ESTETICA

ODONTOLOGIA GENERAL